Kalça Kemiği Çatlağı Belirtileri ve Tedavisi
Kalça kemiği çatlağı, düşme veya travma sonucunda oluşan bir yaralanmadır ve genellikle yaşlı bireylerde daha sık görülür. Bu durumun belirtileri arasında ağrı, şişlik ve hareket kısıtlılığı yer alır. Tedavi yöntemleri, çatlağın ciddiyetine bağlı olarak istirahat, ağrı yönetimi, fizik tedavi veya cerrahi müdahaleyi içerebilir. Rehabilitasyon süreci ise iyileşmeyi destekler.
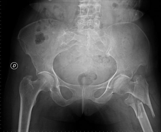
Kalça Kemiği Çatlağı Belirtileri ve Tedavisi Kalça kemiği çatlağı, genellikle düşme veya yüksek enerjili travmalar sonucunda meydana gelen, kalça bölgesindeki femur kemiğinin (uyluk kemiği) bir yaralanmasıdır. Bu durum, özellikle yaşlı bireylerde osteoporoz gibi kemik erimesi durumlarının varlığında daha sık görülmektedir. Kalça kemiği çatlakları, hem fiziksel hem de psikolojik açıdan önemli bir etki yaratabilir ve bu nedenle tedavi edilmesi gereken bir durumdur. Belirtileri Kalça kemiği çatlağının belirtileri genellikle aniden ortaya çıkar ve aşağıdaki gibi sıralanabilir:
Tanı Yöntemleri Kalça kemiği çatlağının tanısı, klinik muayene ve görüntüleme yöntemleri ile konulmaktadır.
Tedavi Yöntemleri Kalça kemiği çatlağının tedavisi, çatlağın tipine ve ciddiyetine bağlı olarak değişiklik göstermektedir.
Rehabilitasyon Süreci Tedavi sonrası rehabilitasyon süreci, hastanın eski fonksiyonlarına dönmesi için oldukça önemlidir. Rehabilitasyon sürecinde:
Ekstra Bilgiler Kalça kemiği çatlakları, özellikle yaşlı bireyler için önemli bir sağlık sorunu teşkil etmektedir. Osteoporoz riski taşıyan bireylerin, düşme riskini azaltmak için düzenli egzersiz yapmaları ve dengeli bir beslenme programı izlemeleri tavsiye edilmektedir. Ayrıca, yaşlı bireylerin evlerinde güvenli bir ortam oluşturması, düşme riskini azaltıcı önlemler alması önerilmektedir. Kalça kemiği çatlakları, zamanında teşhis ve uygun tedavi ile çoğu bireyde başarılı bir şekilde yönetilebilmektedir. Ancak, tedavi sürecinin ve rehabilitasyonun gerektiği şekilde uygulanması, hastanın iyileşme sürecini olumlu yönde etkileyecektir. |




































.webp)

Kalça kemiği çatlağı yaşayan biri olarak, ilk darbeyi aldıktan sonra ağrının başlangıçta neden bu kadar az olduğunu merak ediyorum. Acaba vücut bu tür yaralanmalarda bir tür koruma mekanizması mı geliştiriyor? Zaman içinde ağrının artması ve dayanılmaz hale gelmesi, vücudun o bölgedeki hasarı daha iyi hissetmesi ile mi ilgili? Ayrıca, kalça çevresindeki şişlik ve morarmaların geçmesi için ne kadar bir süre beklememiz gerektiği konusunda bilgi almak beni oldukça rahatlatırdı. Bu süreçte yaşanan fiziksel zorluklar ve iyileşme süreci hakkında daha fazla bilgi sahibi olmak, psikolojik olarak da yardımcı olabilir. Bu tür durumlarda neler yapabileceğimi ve tedavi sürecinde nelere dikkat etmem gerektiğini öğrenmek önemli.
Ağrı ve Koruma Mekanizması
Zekavet, kalça kemiği çatlağı gibi yaralanmalarda başlangıçta hissedilen ağrının az olması, vücudun doğal koruma mekanizmalarından kaynaklanabilir. Vücut, yaralanma anında stres hormonları salgılar ve bu hormonlar, ağrıyı geçici olarak azaltabilir. Bunun yanı sıra, vücudun yaralanma sonrası bölgedeki hasarı "gizleme" yeteneği, ilk başta ağrının daha az hissedilmesine neden olabilir. Ancak zamanla, hasar ve iltihaplanma arttıkça, ağrı da genellikle artar. Bu, vücudun hasarı daha iyi hissetmesiyle ilgili bir durumdur.
İyileşme Süresi ve Morarmalar
Kalça çevresindeki morlukların ve şişliklerin geçmesi genellikle yaralanmanın ciddiyetine bağlıdır. Hafif yaralanmalarda bu belirtiler birkaç gün içinde azalmaya başlayabilirken, daha ciddi yaralanmalarda iyileşme süreci birkaç hafta alabilir. Genellikle, morluklar 1-2 hafta içinde belirgin şekilde geçer, ancak tam iyileşme süresi kişiden kişiye değişebilir.
Fiziksel Zorluklar ve Tedavi Süreci
İyileşme sürecinde yaşanan fiziksel zorluklar, günlük aktivitelerinizi etkileyebilir. Bu nedenle, dinlenmek, yaralı bölgeyi korumak ve gerektiğinde fiziksel terapi almak önemlidir. Tedavi sürecinde dikkat etmeniz gereken en önemli unsurlar, doktorunuzun önerilerine uymak, yaralanan bölgeyi aşırı zorlamamak ve iyileşme sürecine destek olacak besinler tüketmektir. Ayrıca, ağrıyı yönetmek için doktorunuzun önerdiği ağrı kesicileri kullanabilirsiniz.
Son olarak, iyileşme sürecini psikolojik olarak desteklemek için de sosyal destek almak ve gerektiğinde profesyonel yardım almak faydalı olabilir. Geçmiş olsun!
Kalça kemiği çatlağı yaşayan biri olarak, ilk darbe anında ağrının nispeten az olması ve sonrasında ağrının dayanılmaz hale gelmesi normal mi? Ayrıca, kalça çevresindeki şişkinlik ve morarma ne kadar sürede geçer?
Hatem,
Kalça kemiği çatlağı ile ilgili yaşadıklarını paylaşmışsın, öncelikle geçmiş olsun. İlk darbe anında ağrının nispeten az olması ve sonrasında dayanılmaz hale gelmesi oldukça normaldir. Bu tür yaralanmalarda adrenalin ve şok etkisi nedeniyle ilk anda ağrı daha az hissedilebilir. Ancak, yaralanmanın etkisi arttıkça ağrı da artar.
Kalça çevresindeki şişkinlik ve morarma genellikle birkaç hafta içinde iyileşir, fakat bu süre kişiden kişiye değişebilir. İyileşme sürecinde dinlenmek, buz kompresi uygulamak ve doktorunun önerdiği tedavi yöntemlerini uygulamak önemlidir. Eğer ağrı ve belirtiler uzun süre devam ederse, mutlaka bir uzmana başvurmalısın.
Tekrar geçmiş olsun, umarım en kısa zamanda sağlığına kavuşursun.